"Очакват се минимум три вълни на заболели. Първата вълна, която имахме от епидемията от коронавирус, втората - вълната на хроничните заболявания, които бяха отложени, и третата вълна е на тези заболявания, които са остри и нововъзникващи, но хората ги е страх да отидат при лекар, което значи, че ще дойдат в здравните заведения по-тежко болни. Тези вълни са предвидими", обясни пулмологът д-р Александър Симидчиев в ефира на "Събуди се".
Неговият съвет е, ако се проявят симптоми на остри заболявания, незабавно да се направи консултация със специалист.
46 са новите случаи на коронавирус у нас
"Получаваме все повече информация за коронавируса и сме много по-наясно какво се случва. Но отхлабването на мерките прехвърля отговорността от един орган, който следи за мерките, към всеки от нас индивидуално. Всеки, който не се е срещнал с вируса и няма имунитет, ще боледува", каза д-р Симидчиев. Според него трябва да се свикне с т.нар ново нормално и личната отговорност трябва да стане основен компонент от нашето битие.
Пулмологът подчерта три мерки, които всеки трябва да спазва - физическото дистанциране - поне два метра, миенето на ръце и носенето на предпазни средства, когато сме близо един до друг. Това, което можем да направим е да живеем природосъобразно, да се храним балансирано и да имаме достатъчно физическа активност, за да поддържаме нивото на имунитет, каза д-р Симидчиев.
Не лятото ще прогони вируса, нашето поведение ще го прогони, каза още той.
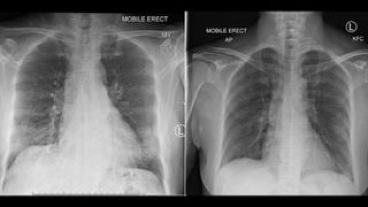
В зависимост от тежестта и фазата на заболяването, има различен тип засягане на белите дробове. Лекарят показа какво е то при пациент с лека клинична картина, без придружаващи заболявания и вече с два отрицателни теста за коронавирус.

"Искам те мъртва": 19-годишен опита да удуши майка си в София
ЕК с иск срещу България заради мръсния въздух
Костадин Костадинов: Въпросът не е дали, а кога България ще фалира
Дело в КС за спешните закони за "Лукойл"
Алтернатива на SLS: Blue Origin ще създаде по-мощна версия на ракетата New Glenn
Ракетата на Илън Мъск постави рекорд по изстрелвания от космодрума във Флорида
Слънчева буря сви щита на Земята – стана пет пъти по-малък от нормалното
Целувките не са човешко „изобретение“
Драмата продължава! ЦСКА зацикли с национал, ясна е ябълката на раздора
Легенда на Левски иска бой с разлика
ЦСКА да внимава! Повечето дебюти на Херо са ударни
Бат Венци се изгаври с Левски: Много ме псуваха! Операция „Кобра“... Ко, стана?
МЕГА Черен петък от VITAGOLD! Отстъпки, които не са за изпускане!
Бързи трикове за подреждане на дома
5 зодии с късмет в любовта в последната седмица на ноември
Пет месеца преди концерта си в София, Ерос Рамацоти с премиера на нов албум
88% от младите хора поставят емоционалното здраве на първо място, показва европейско проучване
Как да се грижим за нокътните кутикули?
Как сънят и шумът в ушите си влияят взаимно?
Билки, използвани при уринарни проблеми
Инвестират 115 млн. евро в сателитни комуникации и научни проекти
Мицотакис: Има проблематични точки в мирния план за Украйна
Всеки пети автомобил в Германия не минава техническия преглед
Били Рей Сайръс и Елизабет Хърли се появиха влюбени на наградите CMA 2025
Лейди Гага и Майкъл постоянно говорим за сватбата
Коментари