От 19 до 23 юни за втори път през тази година ще се проведат безплатни прегледи за туберкулоза в лечебни заведения за диагностика и лечение на туберкулозата в областните градове на страната.
Прегледите са част от кампанията „Седмица на отворените врати”, която се организира в изпълнение на Националната програма за превенция и контрол на туберкулозата на Министерството на здравеопазването, чиято цел е намаляване заболеваемостта от туберкулоза в страната.
Инициативата се осъществява съвместно с Регионалните здравни инспекции, лечебните заведения за диагностика и лечение на туберкулоза, както и неправителствени организации.
Кампанията е доказала своята ефективност за повишаване на обществената информираност по отношение на заболяването. Безплатният достъп до медицински услуги, от една страна, води до по-добра разкриваемост на случаите на туберкулоза и латентна туберкулозна инфекция, а от друга, до ефективна превенция на заболяването в страната.
По време на „Седмицата на отворените врати“ на всеки желаещ се предлага скрининг за риска от туберкулоза чрез анкета и консултации. На лицата, които са в риск, се провеждат допълнителни прегледи и изследвания. При откриването на случаи на туберкулоза своевременно се предприемат мерки за хоспитализация и лечение, в резултат на което се прекъсва веригата за предаване на инфекцията.
По време на проведените за периода 2009 г. – 2022 г. „Седмици на отворени врати” са анкетирани за туберкулоза над 125 000 лица, открити и насочени за лечение са 1 376 лица с туберкулоза, открити с латентна туберкулозна инфекция и обхванати с химиопрофилактика са 4 655 души.
В резултат на изпълнението на Националните програми за превенция и контрол на туберкулоза в България e налице тенденция за трайно намаляване на заболяемостта от туберкулоза - от 26.6 на 100 хил. население през 2012 г. до 14.8 на 100 хил. през 2022 г. (по предварителни данни).
В България диагностиката, лечението и профилактиката на туберкулозата са безплатни, независимо от здравноосигурителния статус на гражданите. Ежегодно Министерството на здравеопазването осигурява както финансов ресурс за противотуберкулозни лекарства от първи ред, лекарства за химиопрофилактика, ваксини, диагностикуми и консумативи за лабораториите и финансиране на болниците за лечение на туберкулоза.
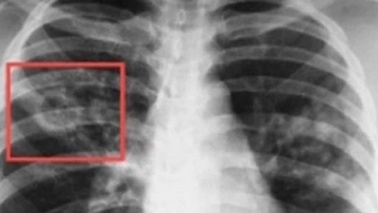
Туберкулозата е лечима и предотвратима, стига да бъде открита навреме и да бъде проведено качествено лечение.
Във Варна безплатните прегледи ще са в Тубдиспансера(Специализираната болница за активно лечение на пневмо-фтизиатрични заболявания) на ул. "Мануш войвода" 11 А.

Какви проблеми причинява нискокачественото гориво?
Рецепти за закуски с тиква и чиа
Лесни начини за почистване на дома без химии
Хороскоп за всички зодии за 5 ноември: Приятни изненади и успехи
Китай стартира първия в света ториев реактор
Пакистански астронавт ще посети китайската орбитална станция „Тянгун“
Обсерваторията „Вера Рубин“ откри огромен звезден поток
В монголската пустиня издигат „марсиански“ лагер
Спортът по телевизията днес, 5 ноември
Мачовете по телевизията днес, 5 ноември
Вижте всики резултати и класиране в Шампионската лига
Ливърпул прободе Реал Мадрид
Дневен хороскоп за 5 ноември, сряда
Тест: Коя емоция управлява живота ви в момента?
Пълнолуние в Телец на 5 ноември – портал към изобилие и сбъдване на желания
Нов нехормонален медикамент при менопауза одобри FDA
Памуклийка – древна билка от помощ при съвременни заболявания
Захарен диабет тип I при деца - хранене и инсулинолечение
В УМБАЛ „Света Марина“ – Варна спасиха петдневно бебе с рядка вродена аномалия
Притесненията около оценките на AI компаниите потопиха индексите на Wall Street*
Какви проблеми причинява нискокачественото гориво?
Cadillac сложи космическа цена на своя флагман
Антъни Хопкинс: Вече е модерно да „страдаш“ от нелечими болести
Фантастичен НОЕМВРИ за 3 зодии!
Коментари