От понеделник, 17.07.2023 г. започва записването за безплатни профилактични прегледи в Специализираната болница за активно лечение на онкологичните заболявания “Д-р Марко Антонов Марков – Варна”. Те ще се реализират с финансовото съдействие на Община Варна и са част от общинските здравни програми за промоция, профилактика и рехабилитация на общественото здраве.
Прегледите са три направления – профилактика на онкологичните заболявания, скрининг на заболяванията на щитовидната жлеза и скрининг на заболяванията на белия дроб.
Прегледите за рак на маточната шийка се извършват всеки делничен ден от 7.30 до 8.40. Часовете за преглед при специалист УНГ са всеки работен ден от 12.00 до 13.30. Отново всеки ден в същите часове ще се приемат пациенти за профилактични прегледи и в кабинетите по дерматология, урология, гастроентерология и рентгенология.
Прегледите от специалисти – хирурзи ще се извършват всеки ден от 12.00 до 13.30 ч. в хирургичните кабинети.
Безплатните профилактични прегледи от програмата „Скрининг на заболяванията на щитовидната жлеза“ ще се провеждат всеки делничен ден от 7.30 до 8.40 ч.
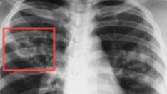
Скринингът на заболяванията на белия дроб ще се извършват от понеделник до четвъртък включително от 11.00 до 12.00 часа.
Записванията стават на регистратурата на Диагностично-консултативния блок на здравното заведение на телефон 052 975 840.

Централна емисия
Цеца бясна на журналист след въпрос за българското знаме в Северна Македония (+ВИДЕО)
Централна емисия
Пакистански астронавт ще посети китайската орбитална станция „Тянгун“
Обсерваторията „Вера Рубин“ откри огромен звезден поток
В монголската пустиня издигат „марсиански“ лагер
Тъмната материя се подчинява на гравитационни „кладенци“
Саутгейт: "Може никога да не се върна към треньорството!“
Мексиканска сензация е на прага на историята
Лаутаро Мартинес e под напрежение!
Кристина Ич
Тест: Коя емоция управлява живота ви в момента?
Пълнолуние в Телец на 5 ноември – портал към изобилие и сбъдване на желания
Сила на всяка възраст – 3 причини жените да вдигат тежести
Нов нехормонален медикамент при менопауза одобри FDA
Памуклийка – древна билка от помощ при съвременни заболявания
Захарен диабет тип I при деца - хранене и инсулинолечение
В УМБАЛ „Света Марина“ – Варна спасиха петдневно бебе с рядка вродена аномалия
Rheinmetall разширява дейността си в Източна Европа със строеж на нов завод в Литва
Финансист: Еврото не е панацея, бюджетът наказва бизнеса
Доставките на суров петрол от Русия се сриват - санкциите на САЩ дават резултат
Cadillac сложи космическа цена на своя флагман
Антъни Хопкинс: Вече е модерно да „страдаш“ от нелечими болести
Фантастичен НОЕМВРИ за 3 зодии!
Коментари