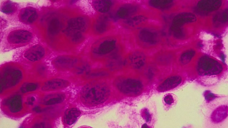
Лекарство срещу всички видове рак може да се появи след три-четири години. Руски учени завършват доклиничните изпитания на лекарствен препарат, който според тях ще може да се бори със злокачествени тумори дори в последните стадии, съобщи ТАСС, цитирана от БТА.
Опитите с мишки и плъхове са дали отлични резултати дори при късни стадии на лечението, разказа Андрей Симбирцев, заместник-директор на държавния научно-изследователски институт за особено чисти препарати към Федералната медико-биологична агенция.
Затова учените са убедени, че препаратът, наречен "белтък на топлия шок", има необходимата за лечение на рака биологическа активност.
За създаването на препарата са допринесли космически експерименти на Международната космическа станция. Така за шест месеца са получени свръхчисти кристали, които са анализирани в Русия и Япония.
Странични ефекти от новия апарат не са установени. Той не проявява токсичност. За завършване на доклиничните изследвания е необходима още една година.
Още по темата: Изтеглят от аптеките опасно лекарство

Бюджет 2026 в евро – стабилност или риск?
Централна емисия
Гуцанов: Никой не може да живее с 1200 лв. или 620 евро
Кои професии са най-привлекателни и най-нежелани в България?
Какво убива животните в океана
Откриха следи от живот на Земята, по-стари от 3,3 млрд. години
Дефицит на две вещества може да доведе до развитието на зрително увреждане
Франция ще тества в орбита спасителен скафандър за бъдещ пилотиран кораб
Погром: Екатерина от Русия яде голям пердах от нашата Елизара
Страхотна новина за Барса
Еуфория в Разград: Лудогорец го направи
„Файтърс – НСА“ спечели второ място на международен турнир по карате шотокан
10 постни рецепти за Деня на семейството
Нумерологична прогноза за 2026 година
Шоколадов тарт без печене и без захар
Beverly Hills Polo Club: Спортен шик за есента
Ендорфините ни помагат да се справим с болката и стреса
Карфиолът предпазва от рак и помага при отслабване
Балканска нефропатия – ендемично заболяване водещо до бъбречна недостатъчност
Масло от шипка и ползите му за здравето
Постигат ли българските компании международните стандарти за равенство на половете?
Кои професии са най-привлекателни и най-нежелани в България?
Жилищния пазар през 2026 г.: Леко затишие след буря
Първото AMG, напълно независимо от Mercedes, няма да има ДВГ
Топлина и уют през зимния сезон – Как правилно да консумираме мед
4 зодии, които винаги озаряват стаята с присъствието си
Коментари