Имунитетът на бебетата, преболедували COVID-19, e по-дълготраен от този на децата, придобили антитела от майките си по време на бременността. Това показва проучване на екип от медици от болница “Токуда” начело с д-р Радка Масларска, началник на отделението по неонатология там, предаде "24 часа". То обхваща над 25 деца, родени в болницата от миналия септември до юни тази година, и проследява имунитета им в период от 3 и 6 месеца след раждането.
Изследвани са две групи - такива, родени с антитела, придобити от майките им, които са боледували по време на бременността, както и такива, разболели се малко след раждането си.
Резултатите ще бъдат представени на предстоящ през октомври Конгрес по неонатология. “Заключението е, че преболедувалите имат по-дълготарен имунитет и защита, докато новородените, които се раждат с антитела, към шестия месец в над 90% вече не отчитат такива”, каза пред “24 часа” д-р Масларска. В едва 2 до 4% от случаите коронавирусът може да премине през плацентата и да зарази бебето, докато то е още в утробата на майката. Но по отношение на антителата, за щастие, случаят е обратен - тези, които майката образува, когато прекара заболяването, в голяма част от случаите преминават и в кръвта на бебето.
“При над 95% от тези над 25 деца, които включихме в проучването, се установиха антитела за прекарана COVID инфекция, т.е. те имаха преминали антитела”, обясни неонатоложката. Децата, обхванати в изследването, са родени между 3 и 6 месеца от боледуването на майката. Въпреки малката вероятност това да се случи, в болницата имат и дете, родено с вируса на COVID Заедно с него в проучването е обхванато и друго новородено, разболяло се 20 дни след раждането си.
“Тези, които имаха антитела в резултат на боледуването на майките им, между 3-и и 6-и месец в над 90% от случаите вече нямаха антитела, които да ги защитават от COVID. Децата, които бяха заразени и преболедували, имат антитела и след 6-ия месец. Това дава основание да се смята, че преболедувалите имат добър имунитет срещу вируса, включително при много малки деца и новородени, при които имунитетът не е съвършен”, обясни д-р Масларска.
Зачестен прием на разболели се от COVID бебета и малки деца отчитат в “Токуда” през последния месец и половина. Сега преобладават тези на възраст от 20 дни до 5-6 години, докато преди август потокът от деца пациенти е бил в тийнейджърска възраст Промяната се дължи на делта-варианта, който в голяма степен поразява младите неваксинирани и неболедували, сред които са и самите родители.
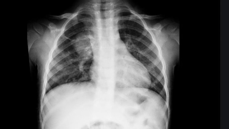
“Определено зачестяват случаите. Повече са и малките деца, кърмачетата до 1 г. и новородените, тъй като много от родителите им не са преболедували и ваксинирани. Сега се заразяват много от младите хора и тези родители го предават и на децата си. Най-малките ни пациенти обикновено са от 20-дневна възраст нагоре, когато вече са имали и малко повече контакти, това допринася да се заразят”, категорична е д-р Масларска. Тя очаква случаите да скочат с тръгването на децата на училище и детска градина. При сегашната вълна децата боледуват по-тежко. Новородените например често вдигат температура и я поддържат известно време, което не е характерно за тях попринцип. Наред с останалите типични за възрастните симптоми - липса на апетит, повръщане, диария, сега децата правят и почесто пневмонии, което не беше характерно в предишните вълни, отчита лекарката.

От Helpbook: Съмнителни назначения, финансови нарушения, текучество в ПГТ - Банкя
Рецепта за домашен чипс от картофи
Награждаване на филмите от конкурсите на "Синелибри" 2025 (СНИМКИ)
Учени разгадават преживяванията след клинична смърт чрез рисунки
Учените съставиха най-големия в историята каталог на галактическите купове
Русия ще достави на Луната първите елементи за лунна станция до 2034 г.
„Най-евтиният в света“ хуманоиден робот струва само 1370 долара (видео)
Суперземя в съседство може да е най-доброто място за търсене на извънземен живот
Лийдс също се справи с Уест Хям, Груев влезе от пейката
Везенков и компания минаха лесно през Байерн
Гол в края спаси Милан от загуба, но не и от издънката срещу Пиза
ЦСКА е отчайващ, пълна летаргия и мъка за феновете
Дневен хороскоп за 25 октомври, събота
Поверия за Димитровден
Изберете си цвете и вижте дали ще се сбъдне желанието ви
Късмет и пари за 4 зодии – ноември ще бъде техният месец
Болест на котешкото одраскване
XII национален конгрес по интервенционална кардиология – научни достижения, иновации и обмен на опит с терапевтична работа на живо
ИСУЛ обявява безплатни прегледи за рак на простатата през ноември
Пирогов провежда още един курс по първа долекарска помощ при инциденти с възрастни
Dow Jones прескочи историческите 47 000 пункта
От Helpbook: Съмнителни назначения, финансови нарушения, текучество в ПГТ - Банкя
Вражда в сърцето на "Роснефт" нанася щети за милиарди долари на Кремъл
Volvo отчете най-силния си ден на борсата
През 1993 година актрисата Андреа Евънс напуска Холивуд, за да избяга от преследвач
4 зодии, които са най-разбиращите партньори
Коментари